15-12-2025 11:49
Danny Newman
ITS sequences from the following two collections B
11-01-2026 20:35
Hello.A very tiny pyrenomycete sprouting sparsely
09-01-2026 17:41
Arnold BüschlenHallo, F. dilatata wird von vielen Bryoparasiten
10-01-2026 20:00
Tom SchrierHi all,We found picnidia on Protoparmeliopsis mur
07-01-2026 22:22
Danny Newman
Tatraea sp. on indet. hardwood The Swag, Great Sm
10-01-2026 01:18
Danny Newman
cf. Neovaginatispora fuckelii on indet. shrub Pre
07-01-2026 10:24
Danny Newman
Pezicula sp. on indet. hardwood Appalachian Highl
09-01-2026 10:08
Blasco Rafael
Hola, en el mismo habitat que la anteriorRetamaDia
08-01-2026 21:22
Blasco Rafael
Hola, He recogido esta muestra de Orbilia sobre Re
07-01-2026 17:29
Marc Detollenaere
Dear Forum,On a barkless Populus I found some smal
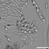
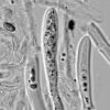
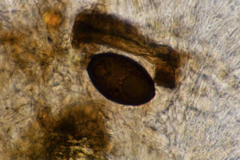
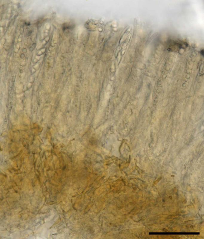
cf. Rodwayella on Rhododendron maximum
Danny Newman,
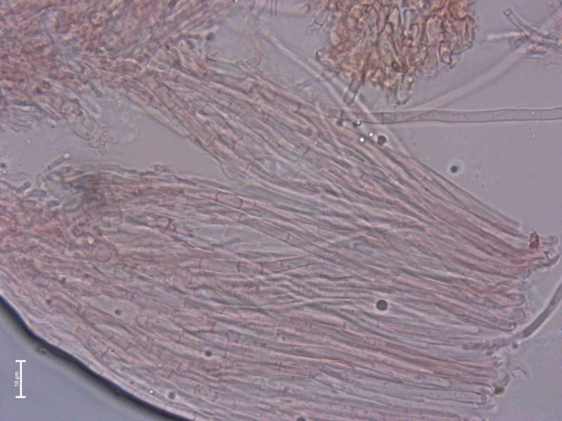
15-12-2025 11:49

ITS sequences from the following two collections BLAST together as 99.82% similar:
https://www.inaturalist.org/observations/179610784
both were found occuring on Rhododendron, and both are from essentially the same locality (Purchase Knob, Great Smoky Mountains National Park, North Carolina, USA). Only one has micrographs at the moment, though measurements are still lacking. This will soon be remedied.
photo credits: Connor Dooley
micrographs: Danny Newman
Any and all ID assistance is greatly appreciated. More micrographs are available upon request for the newer collection (303197504), which will soon be sent to Patrick Verdier for a more comprehensive workup. The earlier collection was previously posted in the Ascomycetes of the World FB group here: https://www.facebook.com/groups/ascomycetes/posts/3795982970653879/. In the meantime, we are wondering if the information provided thus far is sufficient for even a genus ID.
photo credits: Connor Dooley
micrographs: Danny Newman
Any and all ID assistance is greatly appreciated. More micrographs are available upon request for the newer collection (303197504), which will soon be sent to Patrick Verdier for a more comprehensive workup. The earlier collection was previously posted in the Ascomycetes of the World FB group here: https://www.facebook.com/groups/ascomycetes/posts/3795982970653879/. In the meantime, we are wondering if the information provided thus far is sufficient for even a genus ID.
Hans-Otto Baral,
15-12-2025 12:13
Re : cf. Rodwayella on Rhododendron maximum
I consider this R. sessilis. This species is variable in its rDNA, one of yours is in the attached alignment. We have an aff. rhododendricola which is very distant from this. I am not sure if rhododendricola is the same as sessilis which seems to be plurivorous.
Danny Newman,
15-12-2025 13:20
Re : cf. Rodwayella on Rhododendron maximum
Thank you Zotto. I am curious to know more about the known distribution of R. sessilis s.s., as I can find few records of it from outside Oceania, despite it being first described ~100 years ago. Do any of the entries from your 'Rodwayella - Remleria' folder correspond to this species? If so, are they from countries other than Australia/New Zealand/Tasmania? Would it be overzealous to state that our collections are the first to expand the species' known range into the Americas?
Hans-Otto Baral,
15-12-2025 15:07
Re : cf. Rodwayella on Rhododendron maximum
It is actually strange that this species is unknown from European reports. My databse has it only for the two Australian records and a very recent one in France (Mombert et al. 2025, Ascomycete.org 17: 18), but no more than a short note.
My folder contains only European records. DNA isolates are known from New Zealand (Nothofagus). Luis has sequences from apothecia from Tenerife.
The species may have been overlooked because it is drought-tolerant, occurring on attached twigs.






















