30-12-2025 16:44
Pascal DucosBonjour,Une anamorphe rose stipitée, très nombre
30-12-2025 17:14
Bernard CLESSE
Bonjour à toutes et tous,Pourriez-vous aider Albe
29-12-2025 10:15
Hulda Caroline HolteHello, I found and collected this propoloid ascom
30-12-2025 09:04
Hello.A Pyrenomycete sprouting sparsely but very d
29-12-2025 17:44
Isabelle CharissouBonjour,J'aimerais savoir si d'autres personnes au
12-11-2021 00:03
Lepista ZacariasHi everybody,A week ago in my fiels trip I noticed
29-12-2025 17:12
Bernard CLESSE
Bonjour à toutes et tous,Pourriez-vous m'aider à
Dasyscyphella nivea?
Ethan Crenson,
30-10-2025 03:53
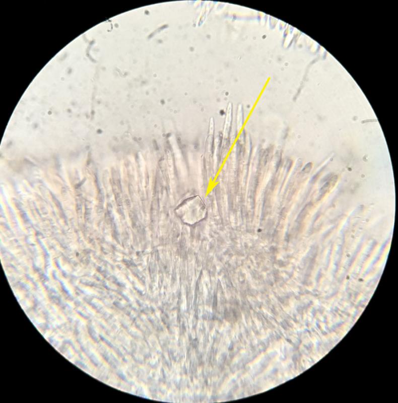
Hi all,
I would like an opinion on whether this can be definitively called Dasyscyphella nivea.
Marginal hairs are septate and have granular roughening on the lower parts, but are smooth at the ends. The ends slightly inflated, up to 3.3µm wide.
Asci: IKI+, with (I believe) croziers, 47-55 x 3.9-5.1µm
Spores hyaline, fusiform, 5.6-8.8 x 1.7-2.5µm
Paraphyses somewhat lanceolate up to 2.8µm wide.
From a hardwood branch on the ground, probably Oak.
Apoogies for the poor photos.
Ethan
Michel Hairaud,
30-10-2025 10:10
Re : Dasyscyphella nivea?
Hi Ethan,
The genus Dasyscyphella is for sure correct.
Did you notice any crystal in the hairs ? D. nivea , which is fairly common in Europe on the underface of hard logs, genrally shows such crystals.
Amitiés. Michel
The genus Dasyscyphella is for sure correct.
Did you notice any crystal in the hairs ? D. nivea , which is fairly common in Europe on the underface of hard logs, genrally shows such crystals.
Amitiés. Michel
Ethan Crenson,
30-10-2025 23:33










