15-11-2025 23:22
Mario FilippaHello,this is what I think to be Hymenoscyphus mac
14-11-2025 16:26
Marian Jagers
Hello everyone, On dead wood of Cytisus scoparius
15-11-2025 20:25
Riet van Oosten
Hello, Found by Laurens van der Linde, Nov. 2025
14-11-2025 18:31
Lothar Krieglsteiner
Hello,can somebody provide me with a file of:Rothe
12-11-2025 09:25
Viktorie Halasu
Hello, I need help with a pale terrestric Pseudom
11-11-2025 20:16
Bohan JiaHi, lastly I have found these tiny yellow decayin
09-11-2025 13:20
Hello.A tiny ascomycete, appearing as erupting gra
Dactylospora stygia?
Lukas Verboom,
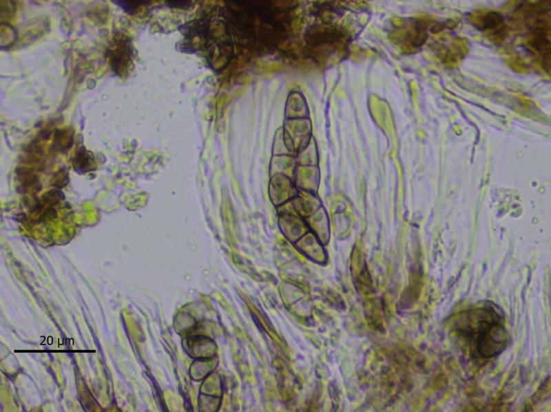
22-10-2025 14:45
I collected this in the Netherlands, on the base of Populus on wood among grass. The ascomata are up to 0.8 mm wide. The hypothecium is brownish, unchanging in K (pictures are in water). The hamathecium reacts blue with K/I, without a blue tholus.
Spores are brown, two-celled, 15.1-16.2 x 5.0-5.6 um (N=8). I did not measure more to save material, since I don't have much of it, only a few discs.
The spores seem to be slightly broader than Dactylospora stygia, but I can't find any better suggestion. It doesn't seem to be parasitic on anything.
Can anyone help me with a name? I collected Dactylospora on bark before, but that material had four-celled spores and was smaller than this.



