13-01-2026 10:13
Danny Newman
Cordieritidaceae sp. on indet. wood w/ Hypoxylon s
13-01-2026 07:28
Danny Newman
Chlorociboria glauca on indet. decorticate logThe
13-01-2026 07:14
Danny Newman
Neodasyscypha cerina on indet decorticate logThe S
13-01-2026 09:10
Danny Newman
Dasyscyphella chrysotexta on indet. decorticate ha
13-01-2026 08:43
Danny Newman
Tricladium varicosporioides on indet. decorticate
13-01-2026 08:49
Danny Newman
Coccomyces sp. on fallen Rhododendron leavesPretty
12-01-2026 22:02
Ethan CrensonHello all, I am hoping someone will have some ins
13-01-2026 07:57
Danny Newman
cf. Bombardia on indet. decorticate woodAppalachia
13-01-2026 07:51
Danny Newman
Atrocalyx sp. on indet. herbaceous stemAppalachian
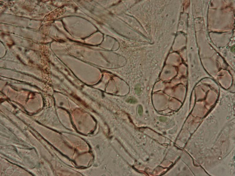
11-01-2026 20:35
Hello.A very tiny pyrenomycete sprouting sparsely
Scutellinia cf. kerguelensis ?
Andreas Gminder,
18-08-2019 01:12
Bonjour,although there are already several threads about Scutellinia kerguelensis, which all had been suggested rather S. nigrohirtula, I'd like to propose our todays find as kerguelensis ....
Found on muddy ground in the middle of a forest path, together with Cheilymenia crucipila.
Hair length 120-300 µm, quite slender, up to 25 µm broad (may be one or two hairs might reach 30 µm ...).
Hair base usually not branched or rooting, a few times with one division of the root.
Spores with low ornament nor visible in water, consisting of narrow fine and low lines, in water (20,3) 21,1-23,2 x (14,1) 15,6-17,3, Q=1,33-1,44
The spores are not from a spore print as we didn't succeeded in getting one ....
Any suggestions to this collection?
Thank you very much,
Andreas and Sylvie
Malcolm Greaves,
18-08-2019 17:50
Re : Scutellinia cf. kerguelensis ?
Hi Andreas
It all looks right for what I am calling S kerguelensis. The spore ornamentation is not as I would expect for S nigrohirula (too fine) so I would happily agree with your id.
Mal
It all looks right for what I am calling S kerguelensis. The spore ornamentation is not as I would expect for S nigrohirula (too fine) so I would happily agree with your id.
Mal
Andreas Gminder,
19-08-2019 09:16
Re : Scutellinia cf. kerguelensis ?
Dear Mal,
thank you very much!
best wishes,
Andreas and Sylvie
thank you very much!
best wishes,
Andreas and Sylvie





