12-01-2026 22:02
Ethan CrensonHello all, I am hoping someone will have some ins
11-01-2026 20:35
Hello.A very tiny pyrenomycete sprouting sparsely
12-01-2026 05:24
Danny Newman
Cyathicula coronata on Urtica dioicaCataloochee Di
15-12-2025 11:49
Danny Newman
ITS sequences from the following two collections B
09-01-2026 17:41
Arnold BüschlenHallo, F. dilatata wird von vielen Bryoparasiten
10-01-2026 20:00
Tom SchrierHi all,We found picnidia on Protoparmeliopsis mur
07-01-2026 22:22
Danny Newman
Tatraea sp. on indet. hardwood The Swag, Great Sm
10-01-2026 01:18
Danny Newman
cf. Neovaginatispora fuckelii on indet. shrub Pre
07-01-2026 10:24
Danny Newman
Pezicula sp. on indet. hardwood Appalachian Highl
09-01-2026 10:08
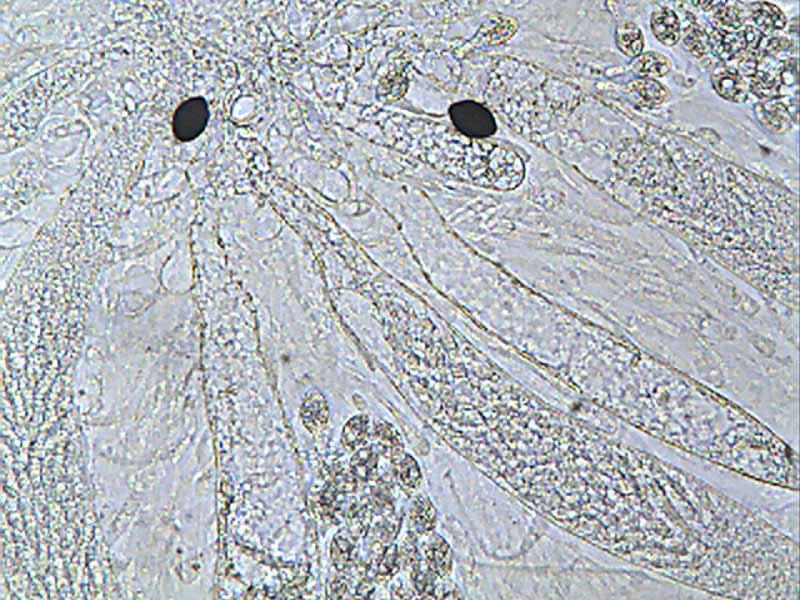
Blasco Rafael
Hola, en el mismo habitat que la anteriorRetamaDia
Podospora ¿ curvicolla ?
Blasco Rafael,
16-02-2016 17:29
Hola, he encontrado esta muestra en estiercol de caballo, lo mas parecido que encuentro es Podospora curvicolla pero sin seguridad , que les parece.Diametro 0,54 , altura total 0,81
Cuello peritecio 0,28 x 0,52.
Ascas 64 esporas 355 x 45
No crozier
esporas sin apendice 16--20 x 12
Apendice basal 12 x 5,
Apendice apical hasta 105 x 3
Un saludo
Rfaael
Norbert Heine,
19-02-2016 10:37
Re : Podospora ¿ curvicolla ?
No, Rafael, this is not Podospora curvicolla.
The narrow asci are typical for Podospora setosa. Also the spore size agrees very well (Lundq. 18-22 x 11-13, pedicel 10-12 x 3). The asci should have 128 spores and at the neck you will find usually some rigid hairs.
Podospora curvicolla has long hair tufts near the neck, much broader asci (up to 120 µm) and smaller ascospores (Lundq. 14,5-17 x 9-11, pedicel 6-8 x 2-3). The asci are mostly 256 spored.
Regards
Norbert
The narrow asci are typical for Podospora setosa. Also the spore size agrees very well (Lundq. 18-22 x 11-13, pedicel 10-12 x 3). The asci should have 128 spores and at the neck you will find usually some rigid hairs.
Podospora curvicolla has long hair tufts near the neck, much broader asci (up to 120 µm) and smaller ascospores (Lundq. 14,5-17 x 9-11, pedicel 6-8 x 2-3). The asci are mostly 256 spored.
Regards
Norbert
Blasco Rafael,
19-02-2016 11:20
Re : Podospora ¿ curvicolla ?
Gracias por su ayuda Norbert
Queda aclarado
Un saludo
Rfaael
Queda aclarado
Un saludo
Rfaael











