25-05-2026 16:44
François BartholomeeusenHi forum members,During an excursion organised by
22-05-2026 14:44
Lothar Krieglsteiner
in unripe condition citrine yellow, then soon fadi
23-05-2026 11:44
Charles Grapinet
Hello, I am having trouble identifying this copro
25-05-2026 16:35
Bernard CLESSE
Bonjour à toutes et tous,J'ai trouvé récemment,
22-05-2026 13:29
Gernot FriebesHi,I am curious to hear your opinion on this mater
23-05-2026 18:57
Sylvie Le GoffBonjour à tousRécolté sur une branchette de Sal
22-05-2026 21:35
Steve ClementsBonjour, I expected this find on old wood on our
22-05-2026 18:12
Lothar Krieglsteiner
... in moist chamber from Portugal.As the fungus s
22-05-2026 20:08
Ethan CrensonHello all, Yesterday in NYC I was visiting an e
Helminthosphaeria
Elisabeth Stöckli,
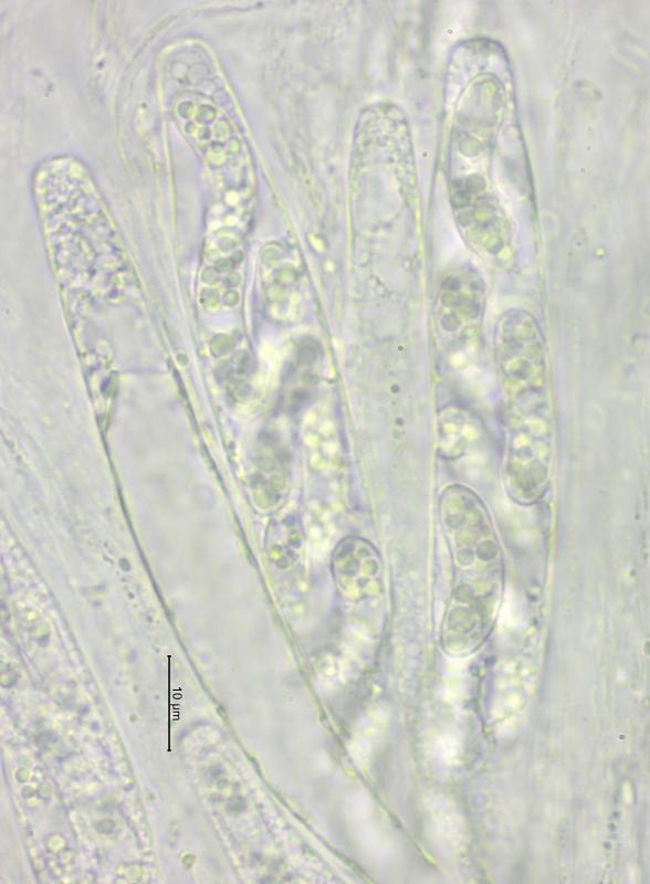
24-03-2026 21:37
Sur bois (tronc) très pourri de conifères, dans forêt mélanges de plaine. Périthécies sphériques, immergées, avec un bec court, isolées ou en petites groupes, 0.25 – 0.5 mm de diamètre, asques octosporés, spores bisériées, IKI-, 112 -143 x 14 – 15.5 µm, spores allantoïdes, d'abord hyalin et unicellulaire, brun à maturité, avec un à trois cloisons, 18 – 22 x 4.5 – 5.5 µm.
Est-ce que quelqu'un connait ? Merci d'avance pour votre aide.
Elisabeth
Andrew N. Miller,
24-03-2026 21:47
Re : Helminthosphaeria
Maybe close to Helminthosphaeria ludens.
Andy
Andy
Elisabeth Stöckli,
26-03-2026 21:14
Re : Helminthosphaeria
Merci Andy!
Seul un test ADN permettra sans doute d'y voir plus clair.
Elisabeth
Seul un test ADN permettra sans doute d'y voir plus clair.
Elisabeth
Andrew N. Miller,
26-03-2026 21:26
Re : Helminthosphaeria
Yes, it would be good to sequence this for B-tubulin and TEF.






