17-05-2026 16:41
Margot en Geert VullingsWe found this Lachnum on an old Rubus stem.Fruitbo
05-04-2026 22:46
Lothar Krieglsteiner
on wood of Ceratonia, Algarve, 3.4.2026.The color
15-05-2026 13:33
Sylvie Le GoffBonjour à tousJe serais très reconnaissante enve
16-03-2011 14:31
roman vargas albertoHi. I would like some opinion about this Peziza
14-05-2026 05:36
Ethan CrensonHi all, I haven't paid much attention to Lachnu
10-05-2026 23:17
Andreas Gminder
Hello,today we found in a moist steep decidous for
11-05-2026 12:32
Bernard CLESSE
Pourriez-vous m'aider à identifier cette héloti
13-05-2026 15:26
François Freléchoux
Bonjour,Voici une récolte faite il y a quelques j
12-05-2026 15:41
Nicolas VAN VOOREN
Dear Ascolovers, especially interested in Pezizale
13-05-2026 12:05
Thierry Blondelle
Bonjour à tous,J'aimerais avoir confirmation de c
Microdiplodia henningsii
Pauline. Penna,
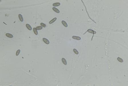
27-04-2026 09:59
Bonjour
Can anyone advise me on these pycnidia found on Atriplex prostrata. I think it is Microdiplodia henningsii but can find little information on this.
Black hemispheres <.5 mm on stem base, rupturing and releasing spore mass. Spores 12 - 13.5 x 5 microns, brown, one septate , some with small guttules.
Kind regards
Pauline Penna

