04-05-2026 09:50
Me mandan el material seco de Galicia,(España) re
28-04-2026 20:07
Lothar Krieglsteiner
... on twig in the air at standing Ceratonia siliq
02-05-2026 12:42
Alain BRISSARDBonjour à tousJeuidi 30 avril dernier on m'a remi
02-05-2026 13:06
Pauline. PennaBonjour Please can someone help me with this id
01-05-2026 22:45
Thierry Blondelle
Bonjour à tous, Une récolte sur bouse séchée d
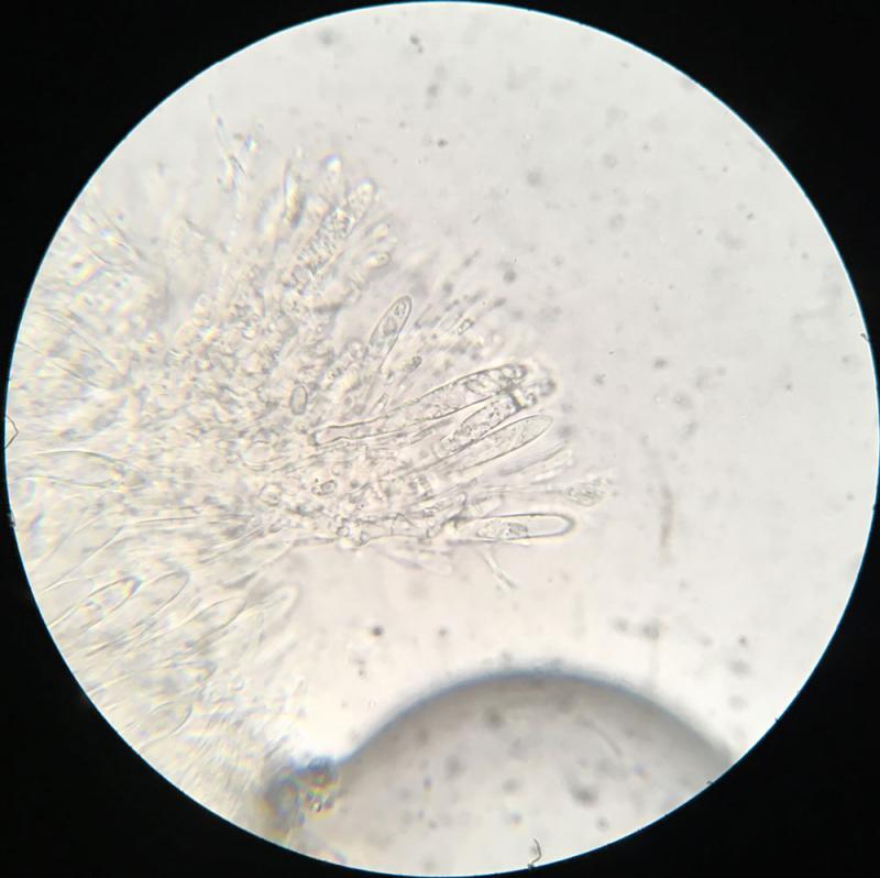
14-04-2026 05:32
Ethan CrensonHi all, A few weeks back a friend pointed out som
28-04-2026 20:33
Vitus SchäfftleinHello, I found Trochila ilicina on Ilex aquifoliu
30-04-2026 10:28
Rot BojanHello, by appearance I would say that I am dealing
A friend collected this asco in a wooded park in the Bronx, NYC on a wet decorticated log among Pinus with some Prunus. My initial thought was that this is a Hyaloscypha. I ran it through both the synoptic and dichotomous keys in Huhtinen's "A monograph of Hyaloscypha and allied genera" and arrived at Hyaloscypha aureliella—now Eupezizella aureliella. I have found E. aureliella once before but I would be grateful for confirmation.
Apothecia white with marginal hairs. Apothecia discoloring slightly orange in age. The largest apothecia are about 0.6mm in diameter.
Asci:
8 spored, biseriate, IKI+, croziers+
38-53 x 5.1-8.4µm
Spores:
hyaline, fusiform, with low oil content
5.4-8.5 x 2.3-2.9µm
Me: 7.0 x 2.6µm
Q: 2.1-3.3
Qe: 2.7
N=12
Paraphyses filiform, septate, sometimes branching
width: ~2.3µm wide
Hairs inflated at the base, tapering at the apex, some with yellow exudate.
My previous collection from 2023 had very colorful orange hairs, probably due to the abundant exudate. This collection does not seem to be as colorful.
Any help would be appreciated.
Thanks!
Ethan











