15-02-2026 04:32
One more specimen that is giving me some descent a
17-02-2026 17:26
Nicolas Suberbielle
Bonjour à tous, Je recherche cette publication :
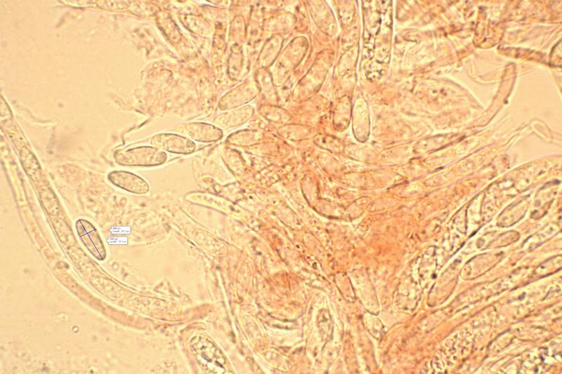
08-12-2025 17:37
Lothar Krieglsteiner
20.6.25, on branch of Abies infected and thickened
17-02-2026 13:41
Isabelle CharissouBonjour, est-ce que quelqu'un pourrait me fournir
16-02-2026 18:34
Thierry Blondelle
Bonjour,La micro de cet anamorphe de Hercospora su
16-02-2026 21:25
Andreas Millinger
Good evening,failed to find an idea for this fungu
16-02-2026 17:14
Joanne TaylorLast week we published the following paper where w
16-02-2026 16:53
Isabelle CharissouBonjour, quelqu'un pourrait-il me transmettre un
Lambertella tubulosa
Rot Bojan,
01-11-2024 14:54
2024-3052-ALV48470 3-16/9/2024 * = LSU ok, 99.65% Lambertella
tubulosa MH872970, Tricladium splendens OR243764, and others
Can ITS analysis be interpreted differently?
Bojan
Hans-Otto Baral,
01-11-2024 19:49
Re : Lambertella tubulosa
Hello
it is great to have a sequence similarity for LSU, but ITS would be definitely more valiable because it is more frequently used.
Besides, it would be much helpful if you could provide micros in water from the fresh fungus.
What I can see is that croziers are present. But not even spore size is available. This could be an interesting case, but it could also be the common Hymenoscyphus imberbis, which is a complex I suspect.
Rot Bojan,
01-11-2024 21:06
Re : Lambertella tubulosa
Thanks Hans-Oto for the quick reply. I also found measurements of spores, unfortunately there are not enough measurements, maybe it will be enough. Even the first ITS research:
2024-3052-ALV48470 3-16/9/2024 * = ITS ok, 99.83% undetermined
Helotiales MZ650953, 98% Zalerion, Helicodendron, Halenospora and
others, LSU?
2024-3052-ALV48470 3-16/9/2024 * = ITS ok, 99.83% undetermined
Helotiales MZ650953, 98% Zalerion, Helicodendron, Halenospora and
others, LSU?
Hans-Otto Baral,
01-11-2024 22:07
Re : Lambertella tubulosa
The paraphysis is dead but remnants of the refractive vacuoles (VBs) are visible.
Actually I see a 100% match between MZ650953 and
KC411993 Hymenoscyphus imberbis strain HB 6797 from Tübingen.
This was a typical representative f that species collected by me. So your specimen is also H. imberbis.
An unpublished LSU of H. imberbis (HB 7894 from Mongolia, without ITS) is 99.8% to L. tubulosa (e.g. CBS 125202), Centrospora clavata, Tricladium obesum and Spirosphaera floriformis. But in ITS blast of my H. imberbis I get only Tricladium obesum with 97.5% and Lambertella tubulosa with 97%. So these are obviously not conspecific and LSU is not useful for species delimitation.
Actually I see a 100% match between MZ650953 and
KC411993 Hymenoscyphus imberbis strain HB 6797 from Tübingen.
This was a typical representative f that species collected by me. So your specimen is also H. imberbis.
An unpublished LSU of H. imberbis (HB 7894 from Mongolia, without ITS) is 99.8% to L. tubulosa (e.g. CBS 125202), Centrospora clavata, Tricladium obesum and Spirosphaera floriformis. But in ITS blast of my H. imberbis I get only Tricladium obesum with 97.5% and Lambertella tubulosa with 97%. So these are obviously not conspecific and LSU is not useful for species delimitation.
Rot Bojan,
01-11-2024 22:16
Re : Lambertella tubulosa
Thank you for the comprehensive and supported answer
Greetings from Slovenia
Bojan
Greetings from Slovenia
Bojan





