01-01-2026 18:35
Original loamy soil aside a artificial lake.The co
31-12-2025 19:27
Collected from loamy soil, at waterside (completel
30-12-2025 16:44
Pascal DucosBonjour,Une anamorphe rose stipitée, très nombre
30-12-2025 17:14
Bernard CLESSE
Bonjour à toutes et tous,Pourriez-vous aider Albe
29-12-2025 10:15
Hulda Caroline HolteHello, I found and collected this propoloid ascom
30-12-2025 09:04
Hello.A Pyrenomycete sprouting sparsely but very d
29-12-2025 17:44
Isabelle CharissouBonjour,J'aimerais savoir si d'autres personnes au
Unguicu ???
Gilbert MOYNE,
03-02-2019 11:58
Bonjour,
Un ami m'a remis ce petit ascomycète récolté dans une haie de son jardin, sur brindille morte (peut-être cognassier du Japon (Chaenomeles japonica), Mantoche, Haute-Saône.
Après examen à la loupe, j'ai immédiatement pensé à un Unguiculariopsis mais, j'ai vite déchnté au microscope : pas le moindre petit poil avec crochet sur toute la surface externe !
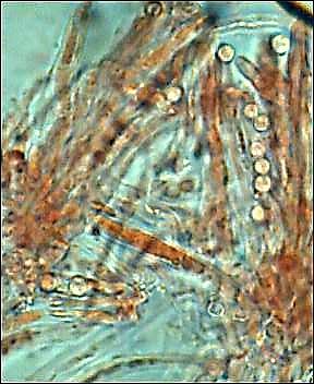
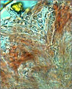
Apothécies grégaires, sessiles, à marge restant un peu enroulée, 0,5 mm de diamètre. Hyménium brun châtain. Marge et surface externe paraissant plus clairs, comme poudrévelouté.
Asques 30-45 x 5-6, crochets +, IKI -, contenat huit spores d'abord en quinconce puis unisériées.
Paraphyses cylindriques plus ou moins régulières, septées, hyalines.
Spores rondes à contenu vaguement spumeux, lisses, hyalines, 3-4 µm de diamètre.
Paraphyses cylindriques plus ou moins régulières, septées, hyalines.
Spores rondes à contenu vaguement spumeux, lisses, hyalines, 3-4 µm de diamètre.
Pas de poils à crochet sur la marge ou l'excipulum mais cellule brunes, parallèles, un peu rnflées au sommet, vaguement granuleuses. Je joind quelques photos dont une de la marge (assez mauvaise...)
Pas d'idée. Je compte donc un peu sur vous rous pour éclairer ma lanterne défaillante
Merci.
Gilbert
Gilbert
Peter Püwert,
03-02-2019 12:11
Gilbert MOYNE,
03-02-2019 12:49
Re : Unguicu ???
Merci Peters,
Je viens de vérifier avec du Melzer (mon IKI doit être un peu périmé...) et en effet, le sommet des asques est bien J+.
Bon dimanche
Gilbert








