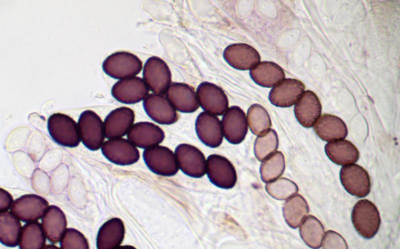
Ascobolus pusillus
Andgelo Mombert
, 21-09-2020 21:49
| Genre | Ascobolus |
|---|---|
| Espèce | pusillus |
| Autorités | Boud. |
| Classe | Pezizomycetes |
| Sous-Classe | |
| Ordre | Pezizales |
| Famille | Ascobolaceae |
| Substrat | Place à feu |
| Herbier | |
| Localité | Champvans (Haute-Saône) |
| Pays | France |
| Leg. | Claude Vernillet |
| Det. | Claude Vernillet |
| Date de récolte | 30-06-2020 |
| Remarque |



